切换至 "中华医学电子期刊资源库"

中华移植杂志(电子版) ›› 2019, Vol. 13 ›› Issue (01) : 58 -59. doi: 10.3877/cma.j.issn.1674-3903.2019.01.013

所属专题: 经典病例 经典病例 文献

病例报告

Ι型原发性高草酸尿症致移植肾功能不全一例
熊艳1, 卢中山1, 夏志平1, 周大为1, 叶啟发2, 彭贵主1,()   
  1. 1. 430071 武汉大学中南医院 武汉大学肝胆疾病研究院 武汉大学移植医学中心 移植医学技术湖北省重点实验室
    2. 430071 武汉大学中南医院 武汉大学肝胆疾病研究院 武汉大学移植医学中心 移植医学技术湖北省重点实验室;410013 长沙,中南大学湘雅三医院 卫生部移植医学工程技术研究中心
  • 收稿日期:2018-07-31 出版日期:2019-02-25
  • 通信作者: 彭贵主

Renal allograft dysfunction caused by primary hyperoxaluria typeⅠ: one case report

Yan Xiong1, Zhongshan Lu1, Zhiping Xia1, Dawei Zhou1, Qifa Ye2, Guizhu Peng1,()   

  1. 1. Zhongnan Hospital of Wuhan University, Institute of Hepatobiliary Diseases of Wuhan University, Transplant Center of Wuhan University, Hubei Key Laboratory of Medical Technology on Transplantation, Wuhan 430071, China
    2. Zhongnan Hospital of Wuhan University, Institute of Hepatobiliary Diseases of Wuhan University, Transplant Center of Wuhan University, Hubei Key Laboratory of Medical Technology on Transplantation, Wuhan 430071, China; The Third Xiangya Hospital of Central South University, Research Center of National Health Ministry on Transplantation Medicine Engineering and Technology, Changsha 410013, China
  • Received:2018-07-31 Published:2019-02-25
  • Corresponding author: Guizhu Peng
  • About author:
    Corresponding author: Peng Guizhu, Email:
引用本文:

熊艳, 卢中山, 夏志平, 周大为, 叶啟发, 彭贵主. Ι型原发性高草酸尿症致移植肾功能不全一例[J/OL]. 中华移植杂志(电子版), 2019, 13(01): 58-59.

Yan Xiong, Zhongshan Lu, Zhiping Xia, Dawei Zhou, Qifa Ye, Guizhu Peng. Renal allograft dysfunction caused by primary hyperoxaluria typeⅠ: one case report[J/OL]. Chinese Journal of Transplantation(Electronic Edition), 2019, 13(01): 58-59.

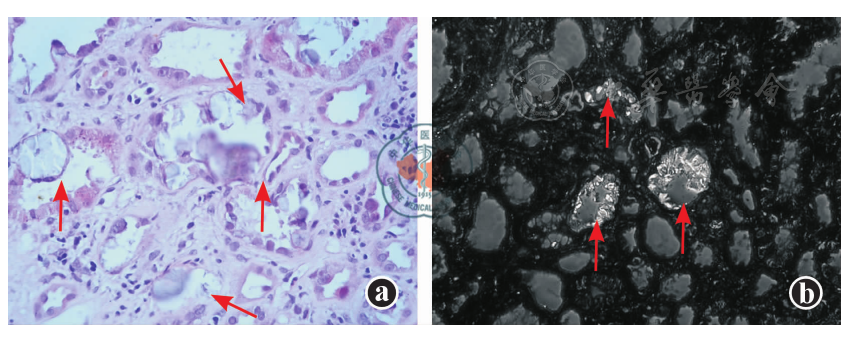
图1 肾移植术后40 d移植肾穿刺病理活检结果
1
Zhao F, Bergstralh EJ, Mehta RA, et al. Predictors of incident ESRD among patients with primary hyperoxaluria presenting prior to kidney failure[J]. Clin J Am Soc Nephrol, 2015,11(1):119-126.
2
Rumsby G, Cochat P. Primary hyperoxaluria[J]. N Engl J Med, 2013,369(22):2163.
3
Hopp K, Cogal AG, Bergstralh EJ, et al. Phenotype-genotype correlations and estimated carrier frequencies of primary hyperoxaluria[J]. J Am Soc Nephrol, 2015, 26(10):2559-2570.
4
Cochat P, Deloraine A, Rotily M, et al. Epidemiology of primary hyperoxaluria type 1. Société de Néphrologie and the Société de Néphrologie Pédiatrique[J]. Nephrol Dial Transplant, 1995, 10(Suppl 8):3-7.
5
Cochat P, Liutkus A, Fargue S, et al. Primary hyperoxaluria type 1: still challenging![J]. Pediatr Nephrol, 2006,21(8):1075-1081.
6
Cochat P, Hulton SA, Acquaviva C, et al. Primary hyperoxaluria type 1: indications for screening and guidance for diagnosis and treatment[J]. Nephrol Dial Transplant, 2012,27(5):1729-1736.
7
Compagnon P, Metzler P, Samuel D, et a1. Long-term results of combined liver-kidney transplantation for primary hyperoxaluria type 1: the French experience[J]. Liver Transpl, 2014,20 (12):1475-1485.
8
Lorenz EC, Lieske JC, Seide BM, et al. Sustained pyridoxine response in primary hyperoxaluria type 1 recipients of kidney alone transplant[J]. Am J Transplant, 2014,14(6):1433-1438.
[1] 邹永康, 石雍, 徐贤刚, 张帅民, 刘衍, 杨生鹏, 叶啟发, 陈根, 张毅. 肾移植术后手术切口米根霉感染伴菌血症一例并文献复习[J/OL]. 中华移植杂志(电子版), 2024, 18(05): 289-292.
[2] 中华医学会器官移植学分会. 遗体捐献肾脏获取手术技术操作指南[J/OL]. 中华移植杂志(电子版), 2024, 18(05): 257-265.
[3] 吕玥彤, 靳梦圆, 周大为, 叶啟发. 机器人辅助下肾移植的临床进展与争议[J/OL]. 中华移植杂志(电子版), 2024, 18(04): 242-246.
[4] 吕军好, 林锦雯, 张心怡, 陈江华. 细胞外囊泡在肾移植诊断和治疗中的研究进展[J/OL]. 中华移植杂志(电子版), 2024, 18(03): 186-192.
[5] 尚丽红, 王志华, 张文艳, 朱琳茹, 周华. 内皮粘蛋白抗体与肾移植术后抗体介导排斥反应和移植肾预后的研究[J/OL]. 中华移植杂志(电子版), 2024, 18(03): 165-170.
[6] 陆婷, 陈浩, 王雪静, 谭若芸, 彭宇竹. 肾移植术后一年发生代谢综合征的危险因素分析[J/OL]. 中华移植杂志(电子版), 2024, 18(02): 98-103.
[7] 郭明星, 徐烨, 徐菀佚, 赵莹, 刘冉佳, 潘晨, 崔向丽. 2017—2022年中国105家医院肾移植术后门诊受者免疫抑制剂用药分析[J/OL]. 中华移植杂志(电子版), 2024, 18(02): 104-109.
[8] 陆婷, 姜巧玲, 孙黎, 王雪静. 加速康复外科在肾移植围手术期应用的研究进展[J/OL]. 中华移植杂志(电子版), 2024, 18(01): 55-59.
[9] 赵丽, 蔡瑞明, 赵纪强, 林民专, 陈志勇, 彭娟. 肾移植术后新发泌尿系统恶性肿瘤二例并文献复习[J/OL]. 中华移植杂志(电子版), 2024, 18(01): 35-39.
[10] 吴小山, 任桂灵, 朱杰东, 史天陆, 马葵芬. 肾移植受者围手术期霉酚酸暴露量及不良反应分析[J/OL]. 中华移植杂志(电子版), 2024, 18(01): 17-21.
[11] 张心怡, 吕军好, 陈大进. 2023年肾移植领域研究进展[J/OL]. 中华移植杂志(电子版), 2024, 18(01): 7-11.
[12] 刘路浩, 张鹏, 陈荣鑫, 郭予和, 尹威, 徐璐, 李光辉, 方佳丽, 马俊杰, 陈正. 奈玛特韦/利托那韦治疗肾移植术后重型新型冠状病毒肺炎的临床效果分析[J/OL]. 中华移植杂志(电子版), 2023, 17(06): 349-353.
[13] 李晓宇, 许昕, 谌诚, 张萌, 韩文科, 林健. 肾移植受者新型冠状病毒感染合并肺炎支原体感染临床特点及诊疗分析[J/OL]. 中华移植杂志(电子版), 2023, 17(06): 354-357.
[14] 彭雨诗, 苗芸, 严紫嫣. 宏基因组高通量测序诊断肾移植术后华支睾吸虫感染一例[J/OL]. 中华移植杂志(电子版), 2023, 17(05): 297-299.
[15] 张秋玥, 程羽, 牛雨田, 唐茂芝, 张克勤, 张懿, 郭亚楠, 涂增. 肾移植与人体微生态的相关性研究进展[J/OL]. 中华临床医师杂志(电子版), 2024, 18(02): 207-213.
阅读次数
全文


摘要


AI


AI小编
你好!我是《中华医学电子期刊资源库》AI小编,有什么可以帮您的吗?